PERIODONTAL
歯周病はお口の中だけでなく全身に悪影響を及ぼす病気です
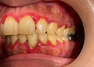
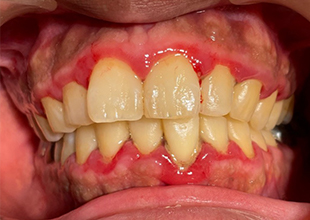
歯周病は歯と歯ぐきの間に汚れが溜まって、歯周ポケットという溝が形成され、そこに炎症が起こる病気です。サイレントディジーズ(Silent Disease)とも呼ばれ、知らず知らずのうちに症状が進行し、悪化すると歯が抜け落ちたり、全身疾患のリスクを高めたりすることが分かっています。
このような症状は
ありませんか?
歯周病は早期発見・初期治療が可能です。
1つでも当てはまる場合、まずは歯科検診を受けましょう。




















