予約はこちら
LINE予約
ブログ
BLOG
ホーム
HOME
医院紹介
CLINIC
診療内容
SERVICES
スタッフ
STAFF
料金表
PRICE
採用情報
RECRUIT
アクセス
ACCESS
2013/8/4
こんにちは、歯科助手の増田です。 友達から京都のお土産をいただきました! よーじやのこのハンドクリー…
More
2013/8/2
こんにちは、歯科助手の増田です。 パトリアデンタルクリニックの衛生士大沢さんが只今矯正中との事で写真…
2013/7/29
こんにちは。 当院では歯科衛生士の治療でも拡大鏡を使用し細かい小さな歯茎の中にある歯石(縁下歯石)を…
2013/7/28
こんにちは、歯科助手の増田です。 今日は高橋先生と汐留シティセンター歯科より衛生士の渡辺さんが来てく…
2013/7/26
こんにちは。歯科助手の須藤です。 昨日はお休みだったので初めて一人で映画を見て来ました! 風立ちぬを…
2013/7/23
歯科医師の宮崎です。 蒸し暑い日々が続きますが、いかがお過ごしでしょうか⁈ 先日、中学の同期がお店を…
2013/7/22
こんにちは、歯科助手の増田です。 先日、衛生士の日野さんの誕生日会をスタッフみんなと先生たちでお祝い…
2013/7/20
こんにちは、歯科助手の増田です。 今日はフィリップスの方に来ていただいて音波式電動歯ブラシソニッケア…
2013/7/15
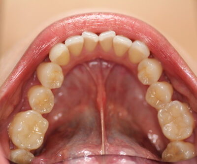
こんにちは。 以前銀の詰め物が入っていた所を白い詰め物に変えました。 どの歯か分かりますか? 左右両…
2013/7/14
こんにちは。歯科助手の須藤です。 今日は別所祭りがありました! お神輿の音が聞こえたので、クリニック…
WEB予約